CD38 跨膜糖蛋白
CD38 跨膜糖蛋白
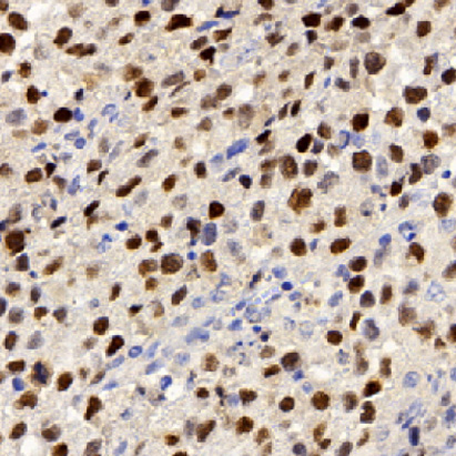
抗体应用淋巴瘤
抗体类型IVD
细胞定位细胞膜
产品种类IHC抗体
产品货号PA3512-SZ

CD38是一种广泛表达于免疫细胞(如浆细胞、活化淋巴细胞)和部分肿瘤细胞的跨膜糖蛋白,参与细胞信号传导、代谢调节和免疫应答。其表达水平与细胞活化状态密切相关。如:正常浆细胞和多发性骨髓瘤细胞通常高表达CD38,若结果为阴性,需排除浆细胞疾病的可能性;在慢性淋巴细胞白血病(CLL)中,CD38阳性提示细胞活跃增殖,阴性可能提示疾病惰性,但需结合其他标记综合判断。

淋巴瘤
抗体咨询